Eroini midesinde taşıdı
Yayınlanma:
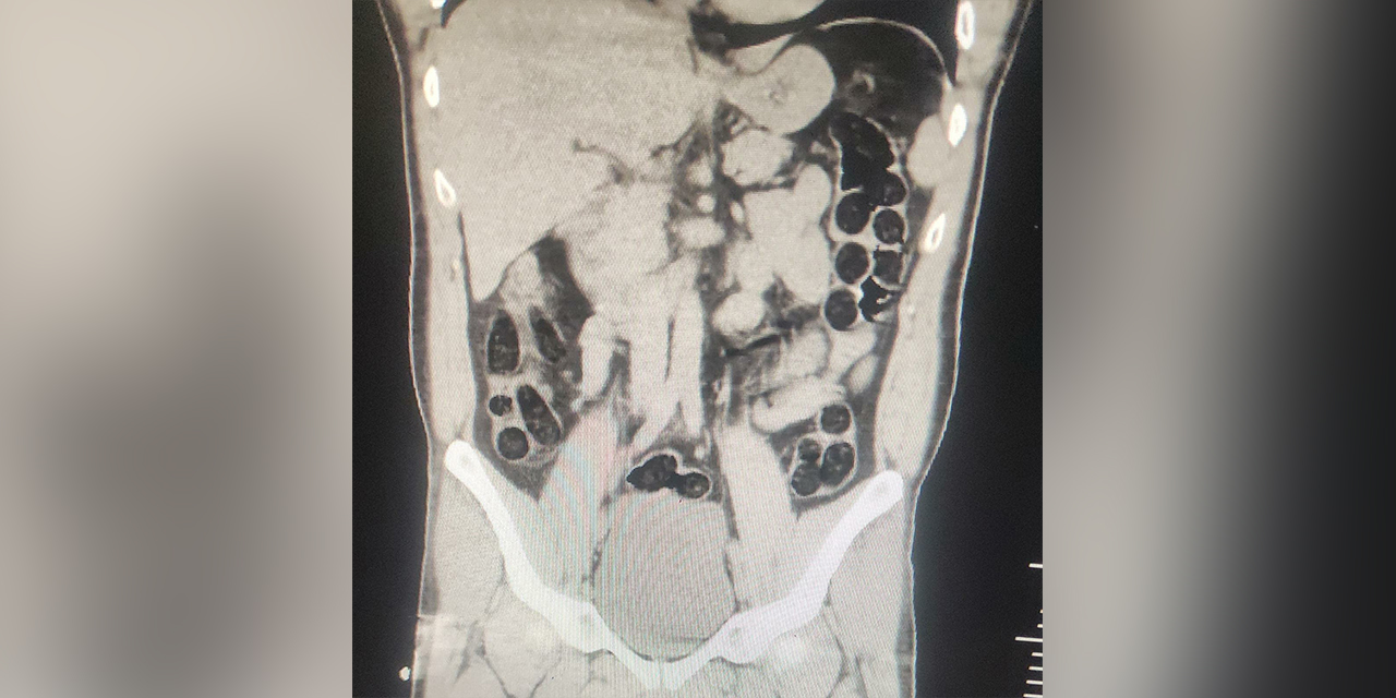
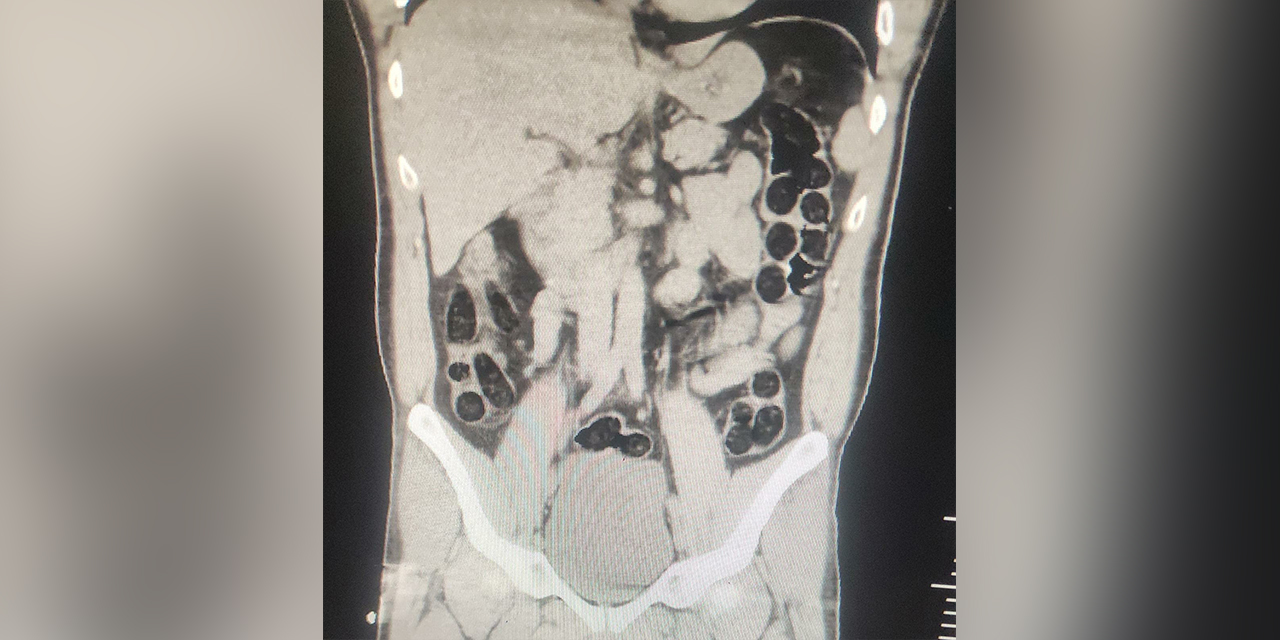
Batman'da İran uyruklu olduğu belirlenen bir kişinin midesinden 76 paket halinde 714 gram eroin çıktı.
TİGRİS HABER - Batman Valiliğinden yapılan açıklamada, otobüs firmaları üzerinden yolcu olarak seyahat eden şahısların batı illerine yüklü miktarda uyuşturucu madde sevk edileceği bilgisi üzerine operasyon yapıldığı bildirildi.

Operasyonda; otobüs ile seyahat eden 2 İran uyruklu şahsın yapılan kontrollerinde ve iç beden muayenesi sonucunda, şahıslardan birinin midesinde 76 paket halinde, 714 gram eroin maddesi ele geçirildiği belirtildi.
Olayla ilgili "Uyuşturucu veya Uyarıcı Madde İmal ve Ticareti" suçu çerçevesinde yakalanan 2 İran uyruklu şüphelinin, sevk edildikleri adli mercilerce tutuklanarak cezaevine teslim edildiği kaydedildi. (İHA)
Resmi İlanlar
Bölge





Türkçe karakter kullanılmayan ve büyük harflerle yazılmış yorumlar onaylanmamaktadır.